Thursday, January 3, 2013

Introducing...

Introducing...
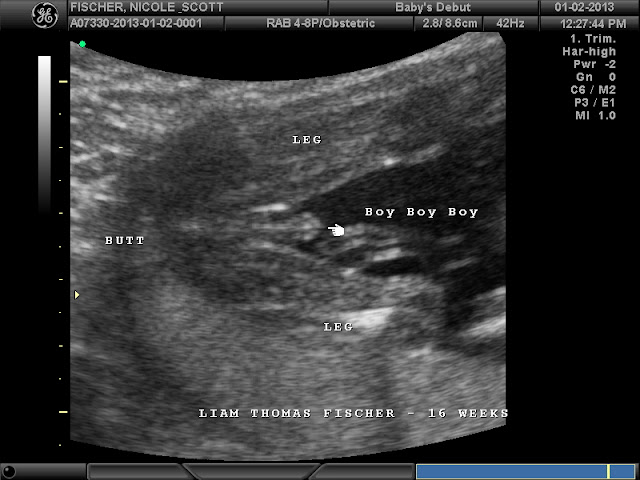
Liam Thomas Fischer



That's his foot up to his face, he looks like a toe sucker lol. Liam takes after his Mommy I guess, his arms are up with his fist alongside his head. (The way I sleep) He kept his hands up there the whole time, even wiggling his fingers enough to flip us the bird a few times... :)


I feel kinda bad posting this wee willy winky online for the world to see, but whatever...Im sure I'll embarrass him in worse ways. :) 

Everything looked great, mind you this was not a diagnostic ultrasound, but the tech also works in a hospital, so if she would have seen something she would have referred us to the Dr. 
We saw fluid in his stomach and kidneys which means he is drinking the amniotic fluid and digesting it, and we saw the 4 chambers of his heart pumping away. His heartrate was 145 at the ultrasound studio and at the midwives. 

The moment the tech put the wand/probe thingy on me and I saw that there really was something inside of me, I cried. Being that I don't have many symptoms at all and havent felt him moving around yet has definitely made it a dream like thing. And seeing him, that he's really in there...it was so reassuring and amazing!!

We did see him in 3D, but we only got 2D photos, which I'm glad, he didnt look like much in 3D. He's not plump enough to really get a good idea of what he will look like anyways. 

Anywho...Yay!!! :) We bought a baby book at babies R us and a the cutest onesie i think ive ever seen...

I just looked for it online and couldnt find it. It's one of the organic cotton onsies with a tractor and cow and other such things. Adorable!! We also stopped at walmart to print our u/s photos and while we waited I picked out two bodysuits. One with crazy sea creatures and the other is robots. Super cute!
Anyhow, I have no regrets finding out the gender of our child. It is amazing to talk to him and just to know!

I hope you all are doing well!
Nikky, Scott, and Baby Liam :)

8 comments:

  1. Replies
    1. I know, I was so thrilled that he was so cooperative.

      Delete
  2. YAY!! Welcome to the baby boy club! Cute pictures :)

    ReplyDelete
    Replies
    1. Thank you! I just love to look at the pictures :)

      Delete
  3. Those are amazing pics!!!! Congrats on your little boy.

    ReplyDelete
  4. Thank you!! And congrats on your 2nd boy! How fun! :)

    ReplyDelete
  5. I love the name! I wanted to have Liam for next boy, but my husband, Stu, didn't like the name! Boo. You'll love having a son!!

    ReplyDelete
    Replies
    1. The funny thing was, we always knew what we wanted for a boy's name, but even to this day, couldnt pick out a girl's name we both agreed on. Liam is the Scottish form of William. And William is one of Scott's ancestors. They recycle names on the male side, this was the closest thing we could get. I wasnt very partial to Paul (scott's brother), John (his dad), William/Bill, Harvey (the only one I even considered), or Edward (Scott's middle name). Blah! Anyways, Thomas is my step father's name. Liam Thomas :)

      Delete